Clinical Biomedical Imaging

Developing imaging technologies to improve patient care.
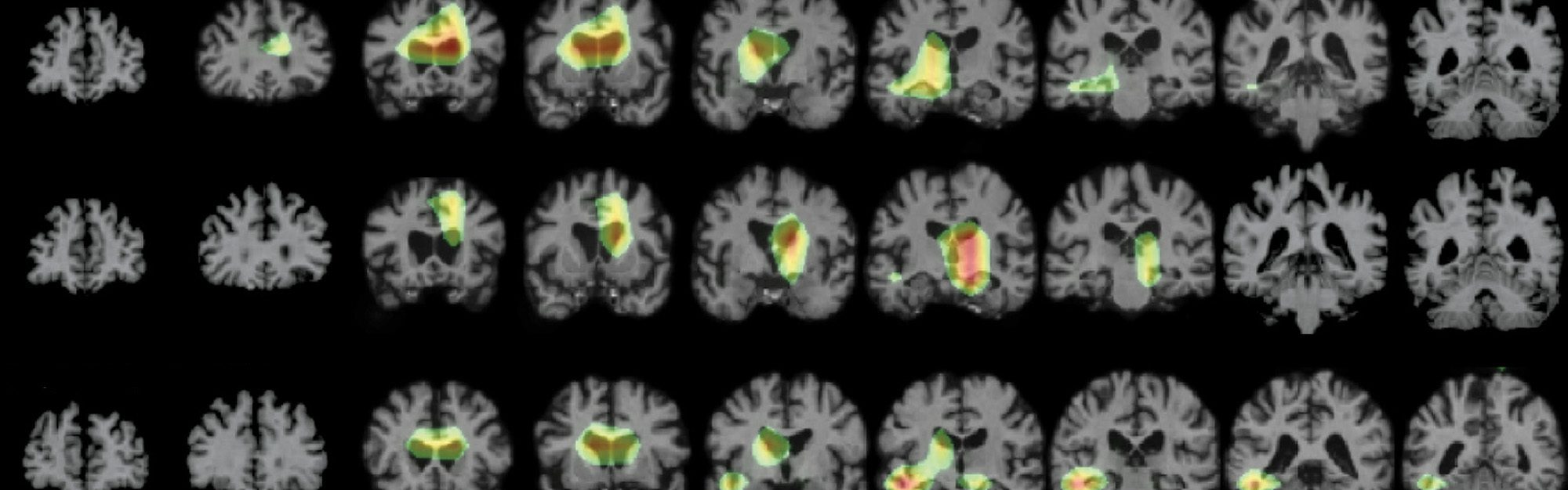
MRI imaging of brains.

Clinical biomedical imaging focuses on the development and application of advanced imaging technologies and artificial intelligence to improve our understanding, diagnosis, and treatment of human disease using modalities such as MRI, PET, CT and ultrasound.

Students participate in multidisciplinary research that integrates principles from engineering, computer science, physics and mathematics and spans image acquisition, reconstruction, processing and quantitation. The program seeks to train the next generation of biomedical engineers as they conduct ground-breaking translational research towards the ultimate goal of improving patient care.

The faculty researchers in this area exemplify the collaborative nature of the work done at Cornell Engineering.

Faculty

Graduate Field Faculty